Traitement orthodontique
pour adolescent

Certaines malocclusions nécessitent d’intervenir au niveau de la croissance et c’est pourquoi il est important d’agir au bon moment. En règle générale, la période optimale chez les jeunes filles se situe entre 11 et 13 ans, tandis qu’elle est plus tardive chez les garçons, entre 12 et 14 ans. Ce traitement dure entre 18 et 24 mois, en fonction des besoins spécifiques. Grâce à des appareils modernes et discrets, les adolescents peuvent vivre cette expérience avec confort et confiance, tout en obtenant un sourire parfaitement aligné.

 

Cas
Transformation du sourire

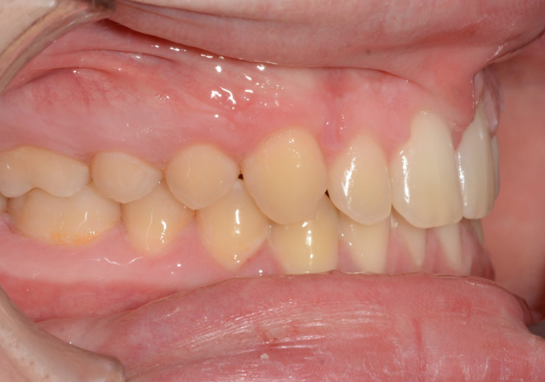
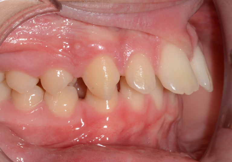
Patient de 12 ans présentant une proclinaison des incisives supérieures ainsi qu’un décalage modéré des mâchoires. Il a été traité en 20 mois avec des boîtiers métalliques en combinaison avec des élastiques.

Avant

Après

VOUS AVEZ DES QUESTIONS
SUR NOS TRAITEMENTS ?