Comment ça fonctionne ?

Les boîtiers orthodontiques fonctionnent en exerçant une pression constante et contrôlée sur les dents à l’aide de fils métalliques et de petites attaches fixées sur chaque dent. Cette pression graduelle permet de déplacer les dents lentement vers leur position idéale. Chaque boitier est ajusté de manière précise pour correspondre à la forme de vos dents. Les ajustements réguliers du fil sont nécessaires pour maintenir la progression du traitement.

 

 

Combien de temps dure le traitement?

La durée du traitement avec des boîtiers dépend de la complexité de chaque cas, mais en général, il dure entre 18 et 24 mois. Un suivi régulier est effectué pour s’assurer que les dents se déplacent correctement et que le traitement progresse comme prévu. Bien que chaque situation soit unique, vous recevrez un calendrier personnalisé lors de votre consultation pour vous donner une estimation précise du temps nécessaire pour atteindre vos objectifs dentaires.

 

 

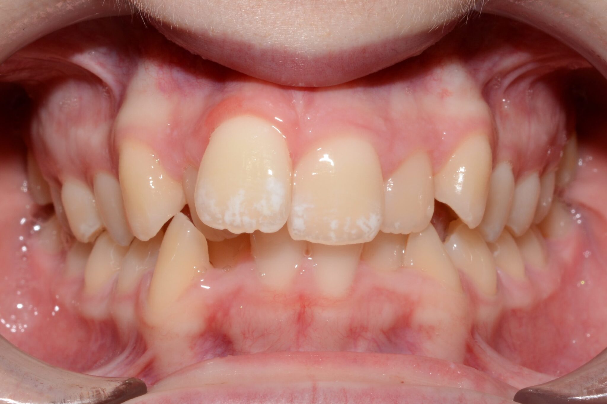
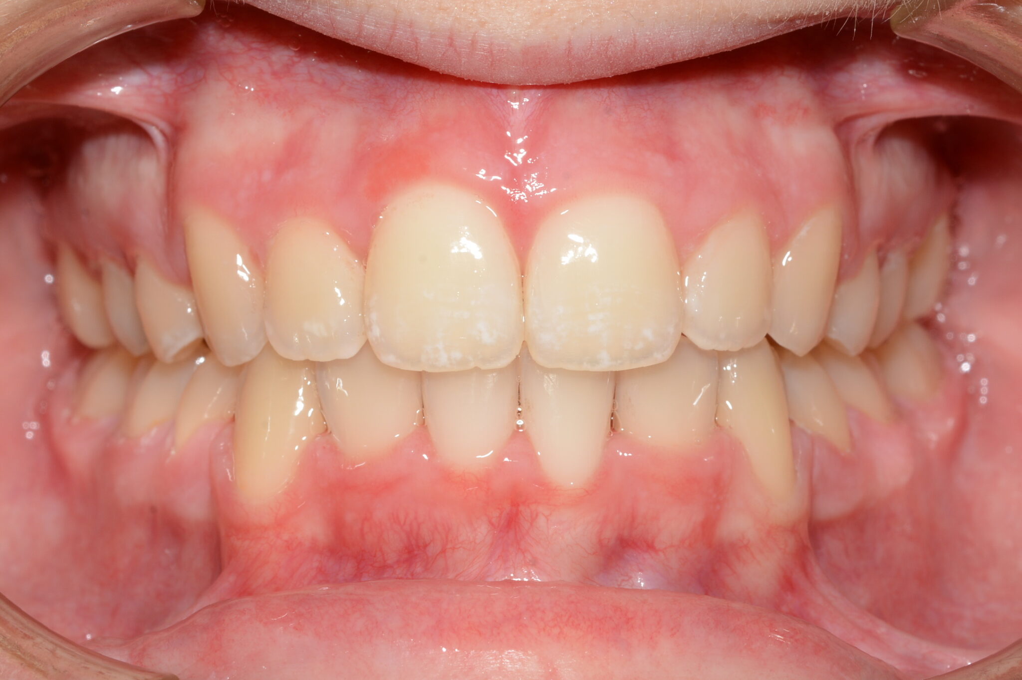
Cas broches
Avant-après

Patiente de 14 ans présentant un chevauchement sévère, traitée avec des boîtiers métalliques pendant 22 mois. Ce cas a nécessité l’extraction de quatre prémolaires afin de créer l’espace nécessaire pour aligner les dents.

 

 

Avant

Après

Ce traitement vous intéresse?